ドクターブログ
2025-11-18


ガミースマイルの手術後ってどうなるの?!【術後の様子を公開】
こんにちは、アバンダンスデンタル名古屋です。
今回は、ガミースマイル手術(審美的CL:クラウンレングスニング)を受けられた患者さんの「実際の術後の見え方」についてご紹介します。
ガミースマイルの手術に興味はあるけど、
- 痛いの?
- 術後の歯ぐきはどうなってるの?
- ダウンタイムはどれくらい?
そんな疑問を持つ方はとても多いです。
そこで、術前・抜糸前の写真で分かりやすくご説明します。
■ 術前 Before

笑ったときに歯ぐきが大きく見える状態です。
歯の長さが短く見え、スマイルライン全体のバランスも崩れてしまいます。
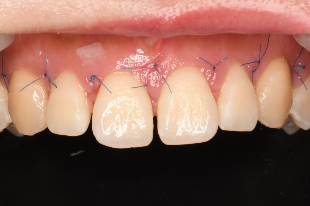
■ 当院の手術:6-0の極細糸で縫合します
手術では、6-0という非常に細い糸を使用します。
これは一般的な歯科治療で使う糸よりも細く、
「傷あとが残りにくい」「痛み・腫れが少ない」
といったメリットがあります。
■ 抜糸直前 Before Removing Sutures

術後数日〜1週間ほど経つと、歯ぐきが落ち着いてきます。
糸はわずかに見えますが、
ダウンタイムはほぼゼロ。
普段通りに仕事や学校に行くこともできます。
食事・会話・生活もいつも通りで、痛みも最小限です。
■ ダウンタイムは本当に最小限です
当院のCL手術は、
- 腫れが少ない
- 出血がほとんどない
- 痛み止めをほとんど使わない方が多い
- 翌日からメイク・仕事・デートもOK
と、とても負担が少ないのが特徴です。
■ ガミースマイル手術の症例数は名古屋・東海地区トップクラス
アバンダンスデンタル名古屋は、
ガミースマイル治療の症例数が名古屋・東海エリアで随一。
手術、ボトックス、矯正、咬合評価まで、多角的に診断します。
■ まとめ
ガミースマイル手術は、
「手術後が心配…」という方ほど安心して受けていただける治療です。
- 糸は細く目立たない
- ダウンタイムはほぼ無し
- 笑ったときの印象が劇的に変わる
目元よりも口元のほうが、印象は大きく変わります。
気になる方は、ぜひ一度ご相談ください。