名古屋で予防⻭科に特化した⻭医者
アバンダンスデンタル名古屋

ドクターブログ

アバンダンスデンタル名古屋 ドクターズブログ

日々の診療で出会った症例や歯の健康について、
歯科医師目線からわかりやすく解説します。

Skip to Content

ウォーキングブリーチで「失活歯の変色」を改善しました(途中経過)

ウォーキングブリーチで「失活歯の変色」を改善しました(途中経過)

「前歯の色が暗く見えるのが気になる」このようなお悩みは、神経を取った歯(失活歯)でよく起こります。 今回は、歯を…

上顎前歯のセラミックをやり直し、自然な見た目へ整えた症例

上顎前歯のセラミックをやり直し、自然な見た目へ整えた症例

今回は、上顎の前歯部に入っていたセラミック(かぶせ物)をやり直した症例をご紹介します。 ご相談内容 患者さ…

セラミック治療のこだわり:圧排糸で“際まで”精密に型取りします

セラミック治療のこだわり:圧排糸で“際まで”精密に型取りします

当院で自由診療のセラミックのかぶせ物(セラミッククラウン等)を行う際は、見た目の美しさだけでなく、長持ちする精度にもこ…

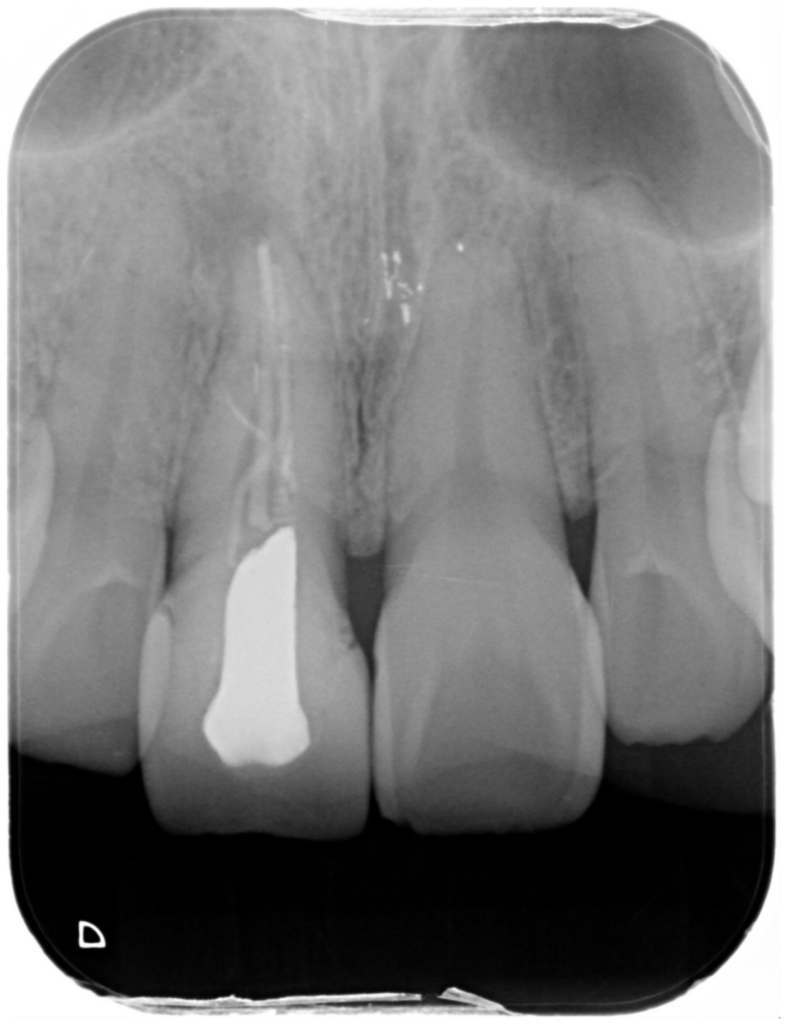
【治療ブログ】右上1番の「前歯の暗さ」が気になる—被せ物を外すと内部に強い汚染と変色がありました・・・

【治療ブログ】右上1番の「前歯の暗さ」が気になる—被せ物を外すと内部に強い汚染と変色がありました・・・

こんにちは、アバンダンスデンタル名古屋院長の伊佐津です。 今回は「右上1番(前歯)が暗く見えるのが気になる」とい…

左下2・3・4番の虫歯を即日CRで治療しました【保険診療】

左下2・3・4番の虫歯を即日CRで治療しました【保険診療】

「虫歯を治したい」という主訴でご来院されました。診査の結果、左下2・3・4番に虫歯が確認できたため、即日でコンポジット…

右下6番の痛み・歯ぐきの腫れで来院された方の治療(根管治療)【保険診療】

右下6番の痛み・歯ぐきの腫れで来院された方の治療(根管治療)【保険診療】

「右下の奥歯が痛い」「歯ぐきが腫れている」という症状でご来院された患者さんの治療内容をご紹介します。 初診時、右…

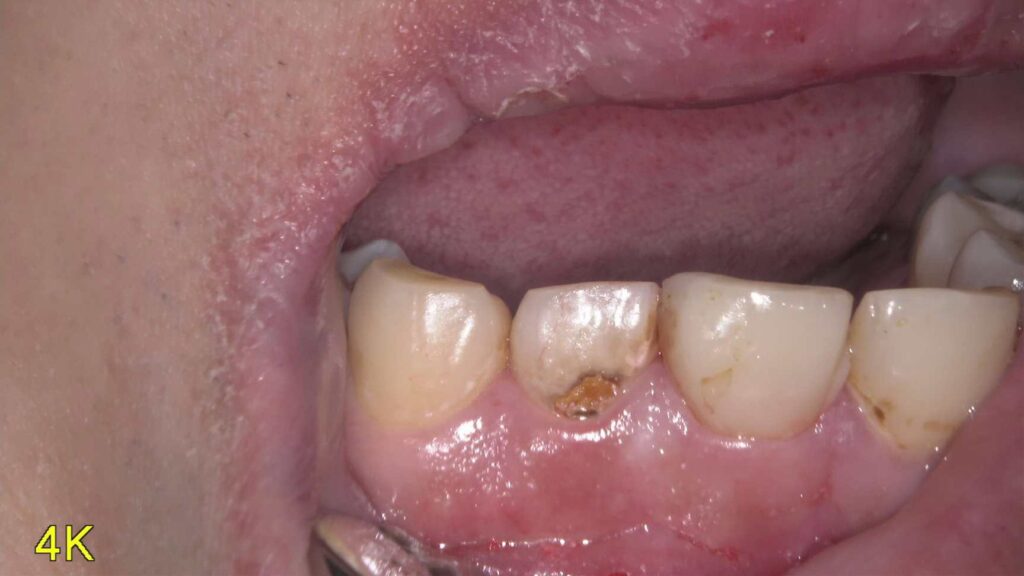
歯茎の近くが欠けて見た目が気になる…コンポジットレジンで即日修復(保険診療)

歯茎の近くが欠けて見た目が気になる…コンポジットレジンで即日修復(保険診療)

「歯茎の近くが欠けていて、見た目が気になる」 このような主訴でご相談いただきました。 確…

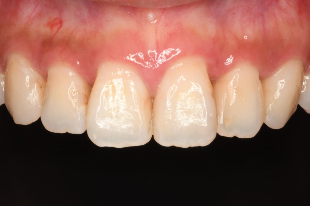
【治療ブログ】前歯の見た目が気になる…コンポジットレジンで自然に改善しました【保険診療】

【治療ブログ】前歯の見た目が気になる…コンポジットレジンで自然に改善しました【保険診療】

「前歯の見た目が気になって…」というご相談で来院された患者さん。 鏡を見るたびに気になってしまう前歯の形…

右上の親知らずが歯ぐきを刺激…当日抜歯で痛みを解決しました🦷【保険診療】

右上の親知らずが歯ぐきを刺激…当日抜歯で痛みを解決しました🦷【保険診療】

本日は「右上の歯ぐきが痛い」という主訴で来院された患者さんの治療をご紹介します。 診察してみると、右上の親知らず…

根っこの治療(根管治療の再治療)を行いました【保険診療】

根っこの治療(根管治療の再治療)を行いました【保険診療】

今回は、左下の奥歯の根管治療(根っこの治療)の再治療を行ったケースをご紹介します。 初診で来院された時点で、この…

アバンダンスデンタル名古屋
愛知県名古屋市中村区椿町16番4号
名古屋駅新幹線口の⻭医者です
  • JR名古屋駅新幹線口から徒歩1分
  • あおなみ線名古屋駅新幹線口から徒歩1分
  • 市営地下鉄名古屋駅新幹線口から徒歩1分
アバンダンスデンタル名古屋
tel.052-453-9110 初診の方WEB予約