名古屋で予防⻭科に特化した⻭医者
アバンダンスデンタル名古屋

ドクターブログ

アバンダンスデンタル名古屋 ドクターズブログ

日々の診療で出会った症例や歯の健康について、
歯科医師目線からわかりやすく解説します。

Skip to Content

ドクターブログ 2026-1-23

治療ブログ】前歯の見た目が気になる…コンポジットレジンで自然に改善しました【保険診療】

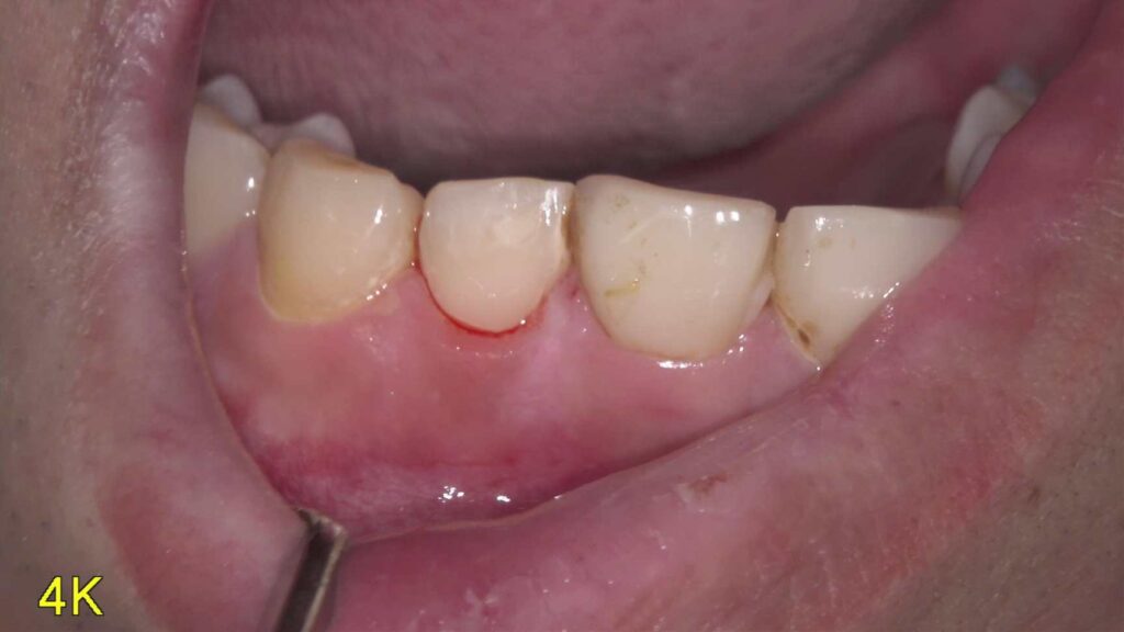
「前歯の見た目が気になって…」というご相談で来院された患者さん。

鏡を見るたびに気になってしまう前歯の形や色、ちょっとした欠け・段差は、想像以上にストレスになります。

今回は状態を確認したうえで、コンポジットレジン(歯科用の樹脂)を用いて、当日中に見た目をきれいに整える治療を行いました。

XERAIMAGE.bmp

コンポジットレジン治療の特徴

  • 削る量を最小限にできる(必要があればほぼ削らない場合も)
  • その日のうちに治療が完了しやすい
  • 色合わせを行い、自然な仕上がりを目指せる
  • セラミックなどに比べ、比較的負担が少ない選択肢

今回の治療について

治療当日は、色調(歯の色)や形のバランスを丁寧に確認しながら、レジンを積層して形を整え、最後に研磨してツヤを出しました。

治療直後から見た目の変化を実感していただけるのが、この治療の良いところです。

患者さんにも「すごくきれいになった」「今日やってもらえて良かった」と喜んでいただけました。

アバンダンスデンタル名古屋 院長「伊佐津 貴之」

院長伊佐津 貴之

  • 日本補綴学会
  • 摂食嚥下リハビリテーション学会
  • 日本口腔外科学会
  • 日本老年歯科学会
  • 日本障害者歯科学会

経歴

東京医科歯科大学 卒業 藤田医科大学 歯科研修医修了 藤田医科大学 客員助手 医療法人LSC リーフ総合歯科 非常勤歯科医師 医療法人五島医院 ごしま歯科 非常勤歯科医師 医療法人福内会 Four Leaves Dental Clinic非常勤歯科医師 医療法人登豊会 近石病院 歯科口腔外科 非常勤歯科医師 Inclusive Swarrow Travel(やわらかい旅行社)プロジェクトリーダー
右上の親知らずが歯ぐきを刺激…当日抜歯で痛みを解決しました🦷【保険診療】

右上の親知らずが歯ぐきを刺激…当日抜歯で痛みを解決しました🦷【保険診療】

本日は「右上の歯ぐきが痛い」という主訴で来院された患者さんの治療をご紹介します。 診察してみると、右上の親知らず…

歯茎の近くが欠けて見た目が気になる…コンポジットレジンで即日修復(保険診療)

歯茎の近くが欠けて見た目が気になる…コンポジットレジンで即日修復(保険診療)

「歯茎の近くが欠けていて、見た目が気になる」 このような主訴でご相談いただきました。 確認す…

tel.052-453-9110 初診の方WEB予約