【ガミースマイル治療】笑ったときの歯ぐきが気になる30代女性のケース
こんにちは、アバンダンスデンタル名古屋です。
今回は、「笑うと歯ぐきが大きく見えてしまう」というお悩みを持つ30代女性の方の治療についてご紹介します。
■ 主訴:笑ったときに歯ぐきが見える(ガミースマイル)

こちらの患者さんは、笑ったときに上の歯ぐきが大きく見えることで長年悩んでおられました。
写真を撮るときに口元を隠してしまう、思い切り笑えないなど、日常生活でも困っていたそうです。
ガミースマイルは複数の原因が重なって起きます。
- 歯ぐきが長い
- 上唇の動きが大きい
- 歯の萌出位置
- 骨格的な要因
まずは、原因を丁寧に診断することがとても大切です。
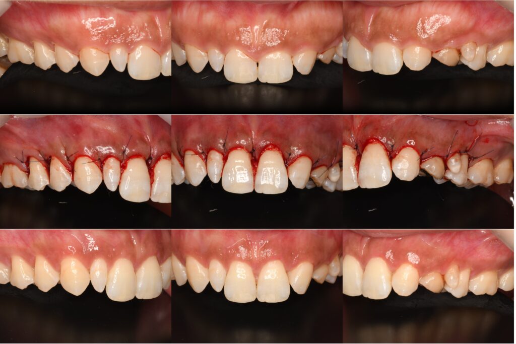
■ 治療内容:審美的クラウンレングスニング(CL)手術
今回のケースでは、歯ぐきの位置を整える「審美的クラウンレングスニング(CL)」を行いました。
この手術では、
- 歯ぐきの高さを整える
- 歯の見える長さを自然にする
- スマイルラインを美しく整える
といった改善が可能です。
手術時間は短く、術後の痛みもほとんどありません。
翌日から仕事・学校など普段通りの生活ができます。
■ 治療後の変化
治療後は、笑ったときの歯ぐきの露出が大幅に改善しました。
患者さんからは、
「自然に笑えるようになった」
「写真を撮るのが楽しみになりました」
と嬉しいお声をいただいています。
笑顔に自信が持てると、気持ちも前向きになります。

■ 名古屋・東海地区でトップクラスのガミースマイル治療実績
当院アバンダンスデンタル名古屋は、ガミースマイル治療の症例数が名古屋・東海地域で随一です。
手術だけでなく、
- ボトックス
- 矯正治療
- かみ合わせの評価
など、複数の選択肢を組み合わせて総合的に診断します。
一人ひとりの症状に合わせた最適な治療をご提案しています。
■ ガミースマイルでお悩みの方へ
口元は、その人の印象を大きく左右する大切なポイントです。
ちょっとした変化で、笑顔が大きく変わります。
当院では「見た目が良くなるだけでなく、長期的に安定する治療」を大切にしています。
ガミースマイルでお悩みの方は、ぜひ一度ご相談ください。