【症例紹介】どこが欠損だったかわかりますか?前歯のセラミックブリッジ治療
こんにちは、アバンダンスデンタル名古屋院長の伊佐津です。
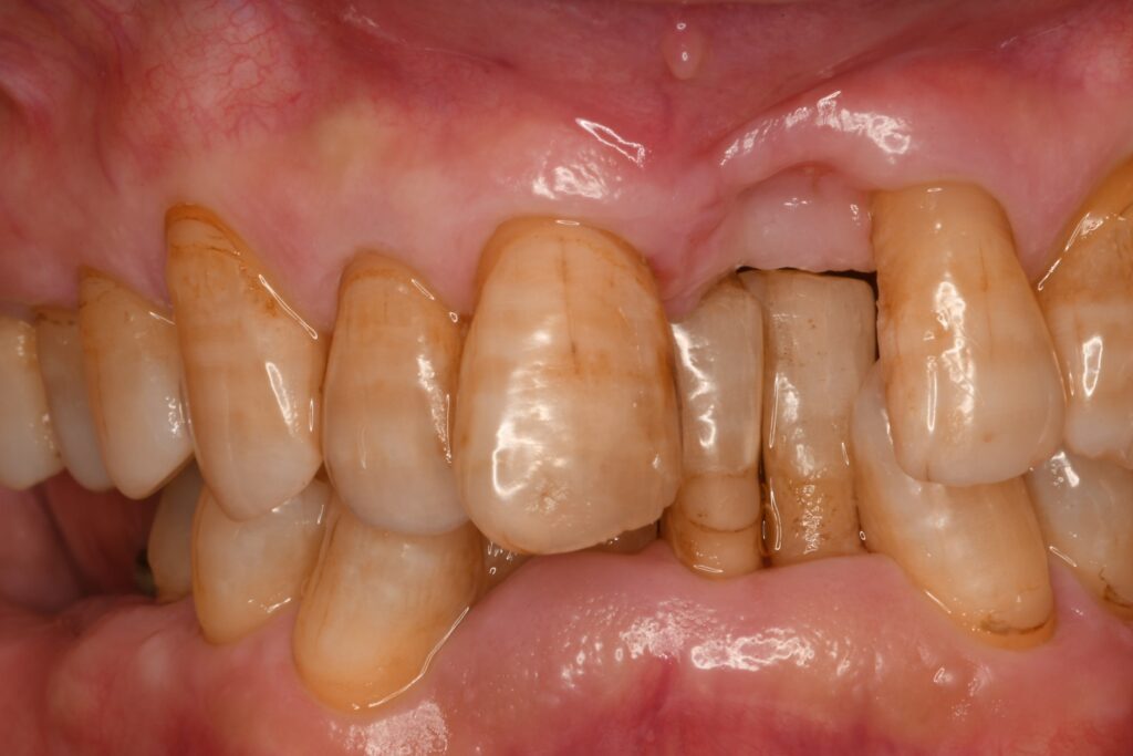
今回は、左上1番(前歯)の欠損に対してセラミックブリッジで治療を行った症例をご紹介します。

まずはこちらの完成写真をご覧ください。
「どこがブリッジなのかわからないくらい自然ですね!」と多くの方が驚かれます。
■ 実はここが欠損していました

治療前は、左上の中切歯が欠損している状態でした。
前歯は目立つ場所のため、見た目・発音・噛み合わせにも影響が出やすい部位です。
患者さんは
「自然に見せたい」
「違和感のない仕上がりが良い」
というご希望をお持ちでした。
■ セラミックブリッジで自然な仕上がりに
今回選択したのはフルセラミックブリッジ。
色・形・透明感を細かく調整し、隣の歯と一体化するように仕上げています。
完成後には
「本物の歯みたいで自分でも見分けがつかない」
と大変喜んでいただけました。
■ 欠損の治療はブリッジだけではありません
歯が失われた場合の治療には、
- インプラント
- ブリッジ
- 入れ歯(部分義歯)
など複数の選択肢があります。
それぞれにメリット・デメリットがあるため、当院では ひとつの治療だけを押しつけることはありません。
患者さんの希望・生活スタイル・口腔内の状態をふまえ、
一番合った治療を一緒に相談して決めていくことを大切にしています。
■ まとめ
前歯の欠損は見た目にも機能にも大きく関わります。
今回のように、セラミックブリッジは自然な仕上がりを実現できる優れた選択肢のひとつです。
同じようにお悩みの方は、ぜひ一度ご相談ください。
【症例紹介】ガミースマイルを改善した審美治療(顔写真ビフォーアフター)
こんにちは、アバンダンスデンタル名古屋の院長の伊佐津です😊今回は「結婚式前にガミースマイルを治したい!」という患者さん…