ドクターブログ
2026-2-7


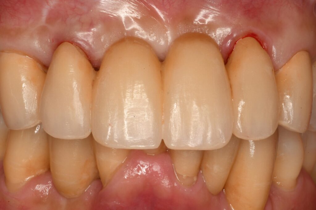
上顎前歯のセラミックをやり直し、自然な見た目へ整えた症例
今回は、上顎の前歯部に入っていたセラミック(かぶせ物)をやり直した症例をご紹介します。
ご相談内容
患者さんは、以前入れたセラミックについて
「歯の形が揃っていない感じがする」
といったお悩みをお持ちでした。
実際に拝見すると、セラミック自体は入っているものの、歯の形やバランスにわずかな不揃いがあり、前歯部という目立つ部位だからこそ、違和感につながっていました。

治療の考え方
前歯は、色だけでなく 形・長さ・左右差・角の丸み・透明感など、ほんの少しの差で印象が大きく変わります。
そこで今回は、次の点を大切にして治療計画を立てました。
- 前歯の左右のバランスを整える
- 顔貌や口元の印象に合わせて歯の形態をデザインする
- 周囲の天然歯となじむように色調と質感を調整する
治療後の変化

最終的なセラミックをセットした結果、患者さんにもとても喜んでいただけました。
仕上がりは、「どこがセラミックなのかわからない」くらい自然で、前歯全体がなめらかにつながるような印象になりました。
まさに、見た目の美しさだけでなく、口元の自信にもつながる治療になったと感じています😊
セラミック治療は「見た目のデザイン」も大切です
セラミック治療は単に白い歯を入れるだけではなく、
その方の口元に合う自然なデザインを作り込むことで満足度が大きく変わります。
上顎前歯のセラミックの見た目でお悩みの方は、お気軽にご相談ください。