ドクターブログ
2026-2-7

ウォーキングブリーチで「失活歯の変色」を改善しました(途中経過)
「前歯の色が暗く見えるのが気になる」
このようなお悩みは、神経を取った歯(失活歯)でよく起こります。
今回は、歯を大きく削らずに色調改善を目指せる ウォーキングブリーチ を行い、途中経過を報告します。

ウォーキングブリーチとは?
歯の内側(歯髄腔)に薬剤を入れて、内側から少しずつ白くしていく方法です。
神経のない歯の変色に対して、比較的低侵襲にアプローチできるのが特徴です。
治療の流れ(今回の症例)
今回の治療は、2週間に1回のペースで薬剤を交換しながら進めました。
- 2週間ごとに薬剤交換
- 合計 3回 実施
薬剤を入れ替えながら、色調がどこまで改善するかを丁寧に確認していきます。
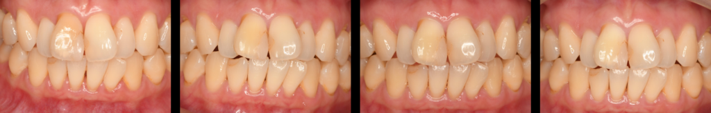
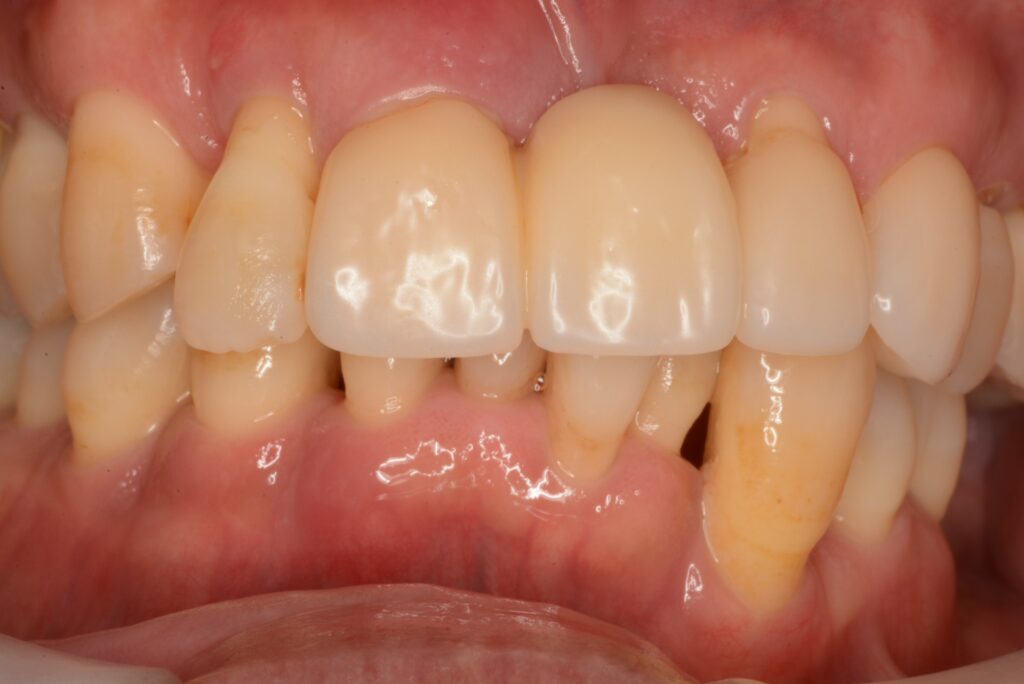
ビフォーアフター(途中経過)
3回の薬剤交換後、ここまで色調が改善しました。
【写真:治療前(Before)】
(ここに写真を挿入)
【写真:3回後(After/途中経過)】
(ここに写真を挿入)
※歯の色は、照明・撮影条件・周囲の歯の色などでも見え方が変わるため、当院では毎回できるだけ同条件で比較できるようにしています。
ここから仕上げへ:審美修復(コンポジットレジン)
色調が整ってきたところで、この後は
樹脂の材料(コンポジットレジン)を塗り直しして、形や透明感まで含めた審美的な仕上げに入っていきます。
「白くする」だけでなく、周囲の歯と自然に馴染むように、最終調整まで丁寧に行います。
まとめ
ウォーキングブリーチは、神経のない歯の変色に対して
歯を削る量を抑えながら色調改善を目指せる治療です。
最終的な修復まで完了したら、また改めて経過をご報告します🙂