ドクターブログ
2026-2-4



【歯の中に入っていた金属の土台】

【治療ブログ】右上1番の「前歯の暗さ」が気になる—被せ物を外すと内部に強い汚染と変色がありました・・・
こんにちは、アバンダンスデンタル名古屋院長の伊佐津です。
今回は「右上1番(前歯)が暗く見えるのが気になる」というご相談で来院された患者さんのケースをご紹介します。
主訴(患者さんのお悩み)
- 右上1番の前歯が暗く見える
- 見た目の違和感が気になる
- 噛むと痛い

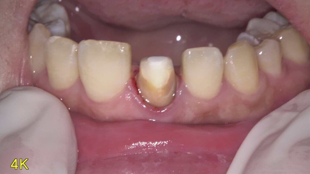
被せ物を外して確認したところ…
まずは被せ物(クラウン)を外して、中の状態を確認しました。

すると、根管内部の汚染がかなり強く、内部の変色もはっきりしていました。

このような場合、表面の被せ物だけ綺麗に作り直しても、中の色が透けて見えてしまったり、長期的な安定性に影響することがあります。
今回の治療方針
今回は、しっかり原因にアプローチするために、
- 根管治療(根の治療)のやり直し
- 土台(コア)の除去と再製
- セラミッククラウンで最終的に見た目を整える
という流れで進めていきます。

最終的には、「どこから被せ物が入っているのか分からない」くらい自然で、透明感のあるセラミックで仕上げていく予定です。
仕上がりについて
前歯は特に「色・透明感・境目」が重要な部位です。
今回のケースは治療後、見た目としてかなり満足していただける仕上がりを目指して進めています。
治療がすべて完了したら、また最終結果もブログでご報告しますね😊